Dental Hygienist in Des Plaines

childrens dentist near me, kids dental services, pediatric dental care, family dental care, oral health for kids, cavity prevention, dental emergencies for kids, gentle dental care, child-focused dentist, stress-free dental visits
24 hour emergency dentist near me

In Des Plaines, keeping your teeth and gums healthy starts with regular hygienist visits. We offer professional cleanings and gum care that prevent cavities, gum disease, and tooth loss. This page explains the services our dental hygienist provides and what to expect during each type of visit. Whether you need routine maintenance or treatment for gum problems, we help you understand which service fits your needs.

Des Plaines Dental Studio - Urgent Dental Care Near Me.jpg

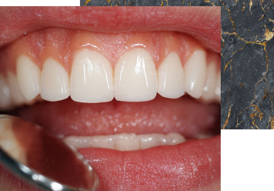
Deep Teeth Cleaning in Des Plaines

If you haven’t seen a dental hygienist in Des Plaines in six months or longer, a deep teeth cleaning removes the plaque and tartar your toothbrush can’t reach. We also provide this service if you notice surface stains, plaque buildup, or early gum inflammation.

Our hygienist cleans above and below your gum line to remove hardened tartar deposits. We then polish your teeth to eliminate surface stains and smooth the enamel. This process takes 45 to 60 minutes, and your teeth will feel smooth and clean when you leave.

Regular deep cleanings prevent cavities, gingivitis, and bad breath. Many patients near Downtown schedule these visits twice a year to maintain healthy gums and catch small problems before they grow.

Gum Disease Treatment in Des Plaines

Red, swollen, or bleeding gums signal early gum disease. If you’ve been diagnosed with gingivitis or periodontitis, or if your gums are receding, our hygienist provides treatment that stops the infection and helps your gums heal.

We deep clean below your gum line to remove the bacteria causing inflammation. Depending on your condition, we may apply antimicrobial rinses or localized antibiotics. This treatment reduces gum swelling, stops bleeding, and lowers your risk of infection.

Follow-up visits let us track how well your gums are healing. Early treatment prevents tooth loss and keeps minor inflammation from turning into advanced periodontal disease. Patients in the Dee Road area often see improvement within a few weeks when they start treatment early.

gum disease treatment in des plaines
Scaling and Root Planing des plaines

Scaling and Root Planing in Des Plaines

When gum disease reaches moderate or advanced stages, you may need scaling and root planing. This non-surgical treatment works for patients with periodontal pockets measuring 4 millimeters or deeper. Your dentist may recommend this procedure if you have hardened tartar deep below your gum line or if you want to avoid gum surgery.

We numb the treatment area so you stay comfortable during the procedure. Scaling removes tartar buildup from below the gums. Root planing smooths the surfaces of your tooth roots so gums can reattach and periodontal pockets can shrink.

Most patients need two to four visits depending on how much buildup exists. This treatment restores gum health without invasive surgery. Patients throughout Des Plaines choose scaling and root planing to protect their teeth and avoid more extensive periodontal work later.

Where Advanced Dentistry Meets Comfort and Luxury